All-on-4
Kivehető fogsorok helyett azonnali FIX megoldás!
ALL-ON-4: EGYEDÜLÁLLÓ LEHETŐSÉG, amennyiben kivehető fogsorát azonnal fixen rögzített fogpótlásra szeretné lecserélni
Emberek milliói élnek a teljes fogatlanság állapotában. Nap, mint nap kivehető fogsoraik nehezítik életüket. A fogsorok mozognak étkezés közben. Gyenge rágóerőt biztosítanak. Befedik a szájpadlást, ezáltal csökken az ízérzékelés és a hangképzés is nehezített. Ebben az esetben nyújt forradalmi lehetőséget az All on 4 vagy All on 6 megoldás. A fogak eltávolítása után azonnal beültetésre kerülhetnek a fogászati implantátumok és azonnal fixen rögzített fogpótlást hordhatnak a páciensek. Ezáltal nincsen várakozás a fogak eltávolítása után, nem kell még ideiglenesen sem kivehető fogsorokat hordani.
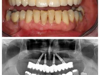
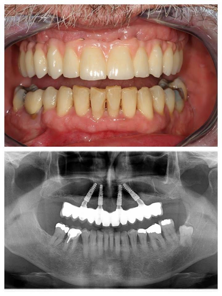
All-on-4 előtte-utána

AZ ALL-ON-4-RÓL
Az All-on-4 technológiát először Paulo Malo fejlesztette ki és alkalmazta 1996-ban. Azóta ez a módszer páciensek millióinak segített a világ minden táján.
Ha hasonló problémáktól szenved, mint például fogágybetegség, vagy hosszabb ideje fennálló fogatlanság, akkor az All-on-4 lehet a megfelelő megoldás az Ön számára.
A fogászati implantátumok kínálják a legmodernebb és legtartósabb megoldást a hiányzó fogak pótlására. Ideális esetben 4-6 titánium implantátumot használunk a teljes fogsor pótlásához.
Az All-on-4 kezelés :
- mind a felső, mind az alsó állkapocs esetén alkalmazható,
- nincs szükség Sinus Lift, csontpótló műtétre,
- rövidebb kezelési időt igényel,
- nagyfokú stabilitást biztosít, még kevesebb csontszövet esetén is.
A SolDent Hungary a Straumann, ICX- Medentis és Nobel BioCare implantátumokat és kezelési protokollokat használja.
Jelentkezzen be hozzánk Fogászati Konzultációra!
AZ ALL-ON-4 ELJÁRÁS MENETE
Az első konzultáció egy átfogó klinikai és radiológiai vizsgálatból áll. Panoráma röntgent és 3D CT felvételeket készítünk. A szájsebész kielemzi a felvételeket és pontosan megtervezi az eljárást. Ha minden kész, Önnek csak be kell ülnie a fogorvosi székbe. Ezután magasan képzett szakembereink maximális odafigyeléssel, empátiával végzik munkájukat .
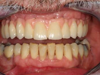
Először helyi érzéstelenítést adunk, majd 4 titánium implantátumot helyezünk be. Kettőt egyenesen az állcsont elülső és kettőt ferdén a hátsó területére. Ezek fogják támasztani az állkapocsba rögzített teljes hidat. Az így behelyezett híd természetesnek hat, hosszú ideig jól illeszkedik, nem mozog, ezáltal garantálja a természetes fogak funkcionalitását és harapási minőségét.
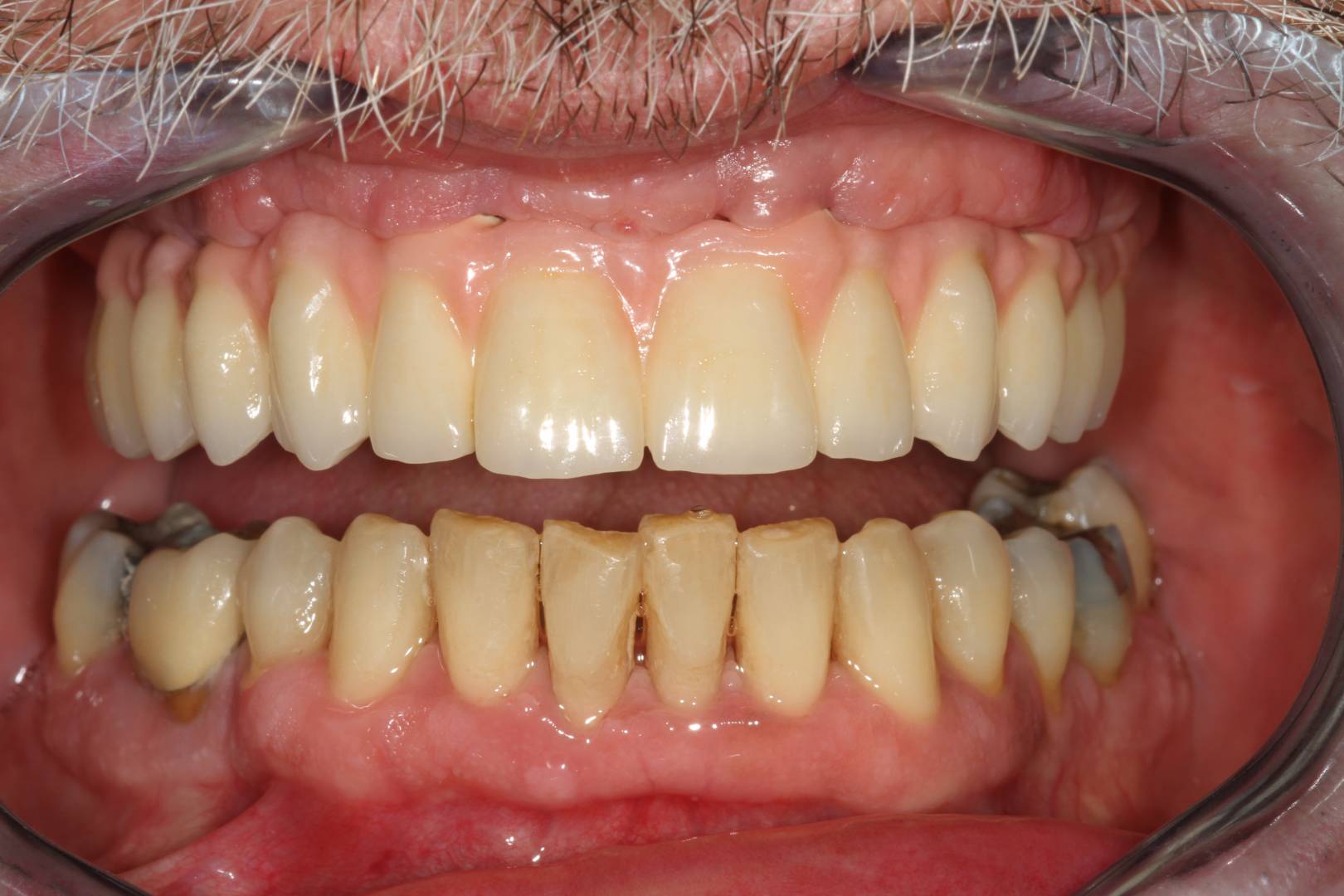
Az első kezelést követően már egy fixen rögzített hídpótlás készül, amelyet használni tud addig, amíg az implantátumok megfelelően be nem ágyazódnak az állcsontba. Az ideiglenes híd már ebben az átmeneti, gyógyulási periódusban is jelentősen javítja az életminőségét. Ezalatt az időszak alatt is már fog tudni nyugodtan enni, beszélni és mosolyogni is.
Amikor a gyógyulási idő lejár, következik a második szakasz, amely során Ön megkapja állandó, végleges fogait. Ezt követően már úgy fogja magát érezni, mint mielőtt a fogászati problémái elkezdődtek.
AZ ALL-ON-4 ELŐNYEI
MIÉRT KÖLTSÉGHATÉKONY MEGOLDÁS AZ ALL-ON-4
Az All-on-4 fogpótlás általában olcsóbb, mint más, teljes fogsor pótlását célzó, fogászati implantációs megoldások. A hagyományos fog implantátumoknál nagy eséllyel számolnia kell a Sinus Lift és a csontbeültetés extra költségeivel.
Az All-on-4 egy teljesen új, állandó fogsort biztosít, amely természetesnek hat, az eredeti fogsorhoz hasonló rágási minőséget ad és biztosítja azt a komfort érzetet, mint a természetes fogak.





