Fogászati implantátum
A legmodernebb fogpótlástani eljárás
Fogászati implantátum - Gyors, fájdalommentes csúcstechnológia
A fogászati implantátum a modern fogászat legkorszerűbb megoldása a hiányzó fogak pótlására. Ez áll legközelebb az eredeti fogakhoz mind egészségügyi, mind kényelmi szempontból.
Hiányzó fogak esetén a csontszövet elkezd felszívódni, ami az arcszerkezet megváltozásához is vezethet.
A fogbeültetés fő előnye, hogy a csontba ültetett implantátum stimulálja a csontszövetet, ezért a csont felszívódását megakadályozza, és a csontszövet hosszú távú stabilitását biztosítja.
A másik nagy előnye, hogy nem kell lecsiszolni, és ezáltal károsítani a szomszédos fogakat.
A fogászati implantátum alkalmazható egy, vagy egymás mellett több fog pótlására és teljes fogatlanság esetén is. Sőt, még arra is van megoldás, ha a csontszövetek már elkezdtek felszívódni.
De lássuk pontosabban, hogy miről is van szó!
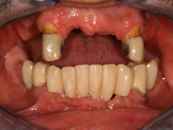
Implantátumok előtte-utána

MI AZ IMPLANTÁTUM?
Az implantátum lényegében egy titánium csavar, amely vagy az alsó vagy a felső állcsontba kerül beültetésre. A titánium egy köztudottan szövetbarát anyag, amelynek a felszínéhez a csontszövet kapcsolódik. Az emberi szervezet befogadja és nem lökődik ki. Az implantátumok pótolják az elvesztett fogak gyökereit, amelyekre aztán rögzíthetőek koronák, hidak és kivehető fogsorok is.
Előnyei:
- A fogászati implantátum természetes hatást kelt, ezért senki sem fogja észrevenni, hogy nem eredetiek a fogai. Még Ön sem fogja érzékelni a különbséget.
- Nem mozog, így kellemetlen pillanatok sincsenek, nyugodtan tud enni-inni.
- A rágófunkció teljes mértékben visszaáll.
- Kevés helyet foglal el a szájban.
- Nem zavarja a nyelvet, vagy a beszédet.
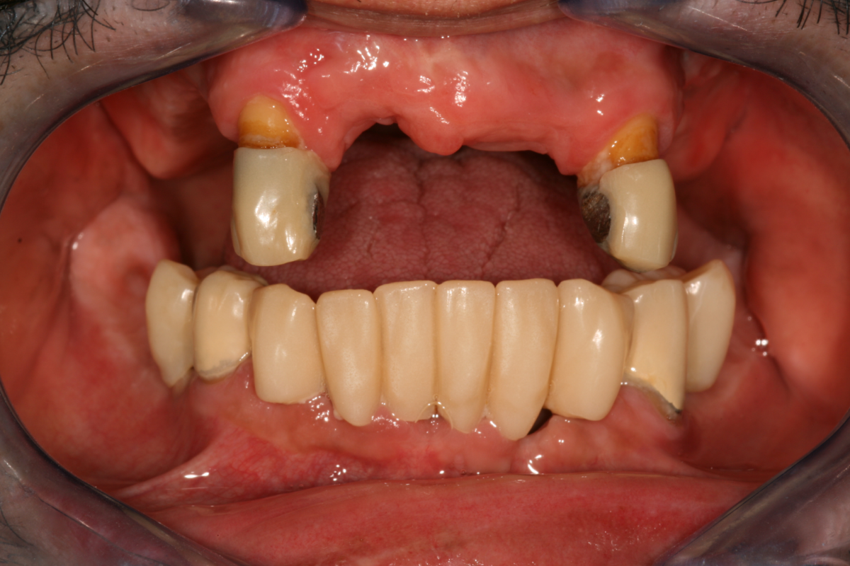
Fogászati implantátumok előtte-utána
Jelentkezzen be hozzánk Fogászati Konzultációra!
IMPLANTÁTUMok NÉHÁNY FOG PÓTLÁSÁRA
Amennyiben nem egy teljes fogsort, csak néhány fogat szükséges fogbeültetéssel pótolni, akkor a hiányzó fogak helyére implantátumokat ültetünk be, majd a gyógyulási idő után koronákat, hidakat rögzítünk a beültetett titánium műgyökerekre.
Több egymás melletti hiányzó fog pótlása esetén nem kell beültetnünk minden fog helyére implantátumot - ilyen esetekben híd megoldás készül.
Implantátum beültetés előtt és után
MENNYIRE TARTÓS MEGOLDÁS A FOGÁSZATI IMPLANTÁTUM
A fogászati implantátum akár élethosszig tartó megoldás is lehet. Ennek eléréséhez természetesen a megfelelő szájhigiéniére szükség van.
A baktériumok megtámadhatják az implantátum körüli ínyt. Emiatt rendszeres fogorvosi ellenőrzés és évente 1-2 alkalommal fogkőeltávolítás javasolt.
A dohányzás lelassítja a vérkeringést az íny ereiben, ezáltal csökkenti az íny védekezőképességét, ezért erősen ajánlott a dohányzásról való leszokás, az implantátumok beültetése előtt.
Különféle általános orvosi betegségek is csökkenthetik az implantáció sikerességét. Leginkább a cukorbetegség az, amely szintén az íny védekezőképességét csökkenti. Ilyenkor fontos a cukorbetegség nagyon alapos kezelése, karbantartása és emellett fokozott szájhigiéné fenntartása is.
MILYEN ELŐNYEI VANNAK Az IMPLANTÁTUMNAK?
- Újra természetes, gyönyörű mosoly.
- Úgy ehet, rághat és beszélhet, mint korábban.
- Biztonságos, az eredményességi ráta 95-98%.
- Csontmegtartó hatása van, biztosítja, hogy ne változzon az arcszerkezet.
Jelentkezzen be hozzánk Fogászati Konzultációra!

FOGBEÜLTETÉS TELJES FOGATLANSÁG ESETÉN
A legjobb megoldás, amikor 6-8 implantátumot az állcsontba ültetve egy fix híd készülhet a fogsor helyére.
Ideális esetben 8 implantátumra készülhet a 12 fogat pótló híd, mely teljesen rögzített a szájban. A páciens ezt nem tudja eltávolítani.
Ha a páciens már régen elvesztette a fogait az az eset állhat elő, hogy a csontfelszívódás miatt már nem lehet fix megoldást készíteni, mert az állkapocs elülső részén is felszívódott a csont. Ebben az esetben 2-3-4 implantátum beültetése után ezekre az implantátumokra egy speciálisan készített fogsort, az úgynevezett overdenture-t lehet rögzíteni.
Ennél a megoldásnál egy fix csavarozott stég kerül az implantátumokra, erre rögzül a fogsor, mely jellegében a hagyományos műfogsorra hasonlít, de az implantátum miatt annál sokkal stabilabb, és egyáltalán nem mozog. Ezenkívül az implantátumok itt is stimulálják a csontot, tehát megáll a csont sorvadása.
A FOGBEÜLTETÉS MENETE
Az eljárás megkezdése előtt a páciens helyi érzéstelenítést kap, amely garantálja, hogy a kezelés teljesen fájdalommentes lesz. A sebész fölnyitja az ínyt, behelyezi az implantátum csavarjait, és összevarrja a területet. Időre van szükség, hogy ezek a csavarok jól beágyazódjanak, emiatt néhány hónapot várni kell, mielőtt fel lehet helyezni a koronát. Hogy elkerüljük a fog nélkül maradást, a páciens erre az időre egy ideiglenes protézist kap, így enni és mosolyogni is tud.
Amennyiben az íny megfelelően begyógyult, lenyomatot veszünk és elkészítjük a hidat, vagy koronát. Ez kerül a kezelés végén az implantátumra, ez lesz a végleges fogsor.
FOGBEÜLTETÉS - MENNYI IDŐT VESZ IGÉNYBE?
A legegyszerűbb eset az, amikor valaki egy, már hiányzó fogat szeretne fogbeültetéssel pótolni, és az adott helyen az állcsont még ép és erős.
- A kezelés mindig egy friss CT felvétellel kezdődik: még egyszer egyeztetjük az elképzeléseket a pácienssel, majd beültetjük a titánium csavarokat.
- Ezt követően sor kerül egy kontroll vizsgálatra.
- A kezelést 3-6 hónap után lehet folyatni. Először felnyitjuk az ínyt az implantátum fölött, és néhány napra egy gyógyulási csavart csavarunk az implantátumba. Ezzel egy időben lenyomatokat veszünk.
- Ezt követően vázpróbát tartunk.
- Az utolsó kezelés alkalmával rögzítjük a végleges hidakat és a koronákat az implantátumokra.
Abban az esetben, ha a fogbeültetést megelőzi a foghúzás, akkor több találkozóra van szükség, mert a foghúzás után időt kell hagyni az íny és a csont gyógyulásának. A foghúzást követően általában 3 hónappal történik meg az implantátumok beültetése a fentebb vázolt kezelési menetrend részeként.
Amikor nagyobb mértékű csontpótlásra van szükség, akkor a csontpótlás után általában 6 hónappal kezdődhet meg az implantátumok behelyezése.





