Fogászati héj
A ragyogó mosolyért! Elégedetlen fogai színével, alakjával, vagy fogai torlódottak, szabálytalan elhelyezkedésűek? A fogászati héjak minden esztétikai hibára megoldást nyújtanak.
A ragyogó mosoly pont olyan lesz mint szeretné!
A fogászati héj kezelést egy mosolytervezés előzi meg. Fogorvosainkkal együtt, közösen döntenek a héjak színéről, alakjáról és az eredményt számítógépen is megnézheti. Ezáltal biztos, hogy megújított fogsora és ragyogó mosolya pont olyan lesz, amit leginkább sajátjának érez!
Fogászati héjak, nem csak sztároknak!
A fogászati héj számos problémára megoldást nyújt, amit régebben drasztikusabb, nagyobb beavatkozást igénylő koronákkal oldottak meg a fogászatban. Ezekre már költséghatékonyabb, kisebb fogkárosodással járó fogászati héjak nyújtanak modern megoldást.
Jelentkezzen be hozzánk Fogászati Konzultációra!
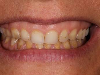
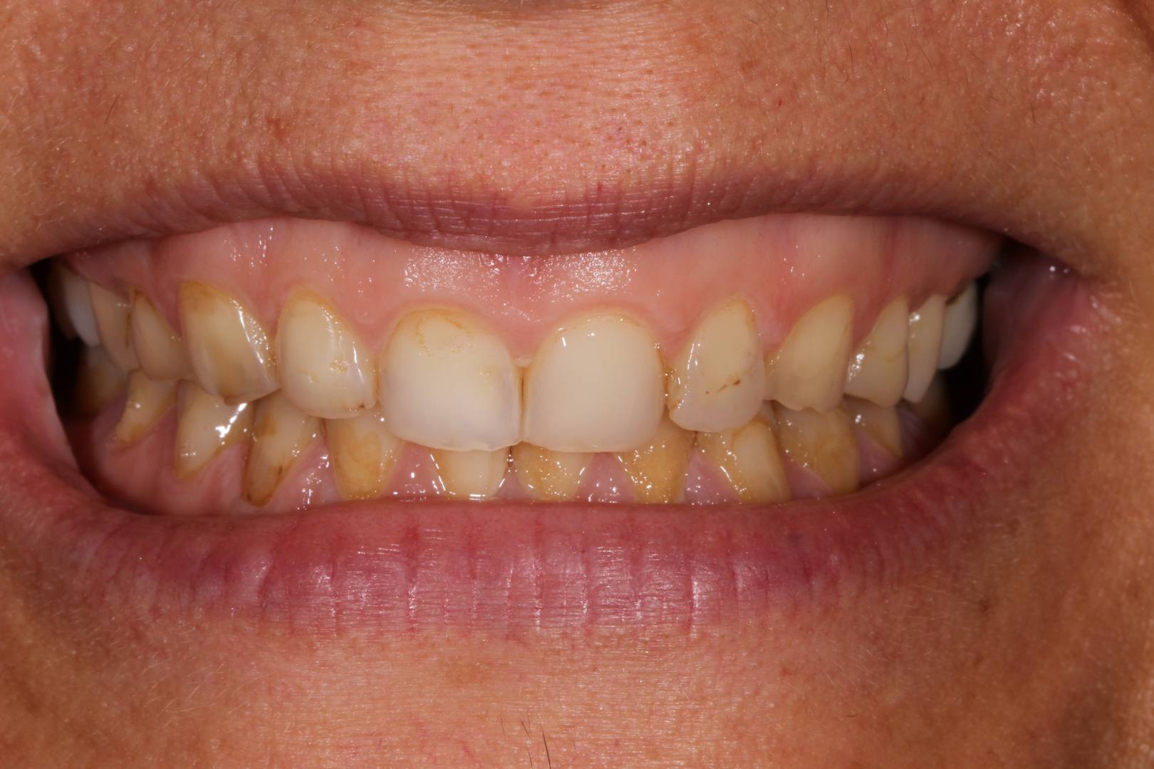
Mire nyújtanak megoldást a fogászati héjak?
Elszíneződések, szabálytalanságok, sérült fog, vagy sérült zománc? A fogászati héjak minderre megoldást kínálnak. Abban az esetben is használhatóak, ha eltakarni, vagy csökkenteni szeretné az elülső fogak közötti hezagokat, reseket. De miről is van szó pontosabban?
A kerámia, vagy porcelán héj
A kerámia, vagy porcelán héj leginkább préskerámiából készül, aminek az az előnye, hogy ez az anyag tudja legtökéletesebben utánozni a fogzománc természetes színeit. Emellett igen ellenálló a különböző stresszhatásokkal szemben.
Hogyan zajlik a kezelési folyamat?
1., A fogorvos az érintett fogak finom lecsiszolásával előkészíti a fogakat a kerámia héjak felragasztására.
2., Egy precíziós lenyomatot készít, amely alapján a fogtechnikus elkészíti az egyedi kerámia héjakat.
3., A páciens a következő kezelésig ideiglenes, műanyag héjakat kap.
4., A második kezelés alkalmával kerülnek felragasztasral a kerámia héjak a fogakra.
Mennyire tartós megoldás a kerámia héj?
Bár ez jelentősen különbözhet páciensenként, az emberek többségénél 8-10 évig is tartós megoldást nyújtanak a héjak. Ahhoz azonban, hogy a maximális tartósságot lehessen biztosítani, nagyon fontos a szájhigiénia és a rendszeres, évenkénti fogorvosi ellenőrzés, és fogkőeltávolítás.
A kerámia héjak előnyei
- Nagyon természetes és esztétikus eredmény
- Kisebb a fogkárosodás kockázata a koronához képest
A kerámia héjak hátrányai
- Nem használhatóak erősen károsodott, elszuvasodott fogak esetén.
- Ha sokat csikorgatja fogait a kezelés előtt konzultáljon fogorvosával.







