Esettanulmányaink
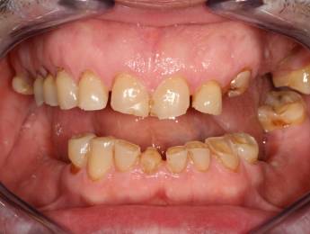
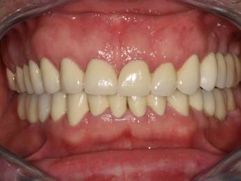
A páciensekről készült szájfotók és röntgenek képei nagyon fontos részleteket is megmutatnak. A különböző esetek között könnyen találhat olyan kiindulási fényképeket, amelyek nagyon hasonlíthatnak akár az Ön esetéhez is. Amint láthatja, nincsenek reménytelen helyzetek! Még a legkárosodottabb fogazat esetén is képesek vagyunk arra, hogy gyorsan és hatékonyan segítsünk. Minden esetben arra törekszünk, hogy a leghatékonyabb módszerekkel érjük el a természetes és esztétikus végeredményt.
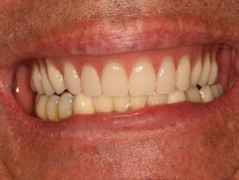
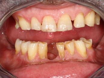
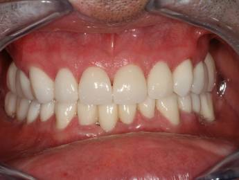
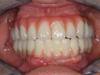
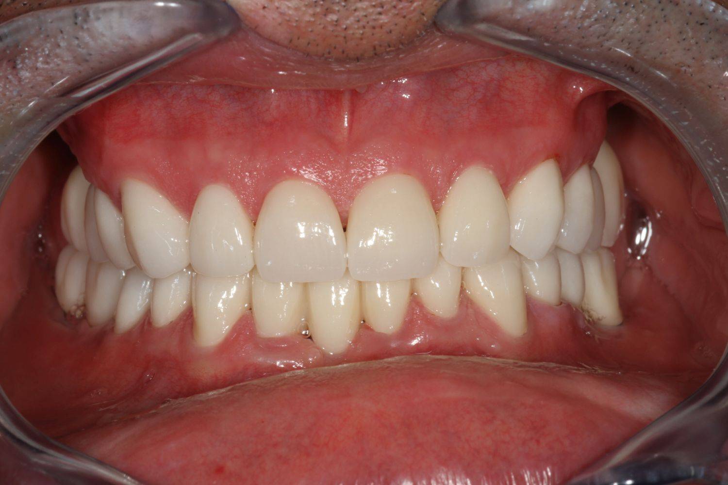
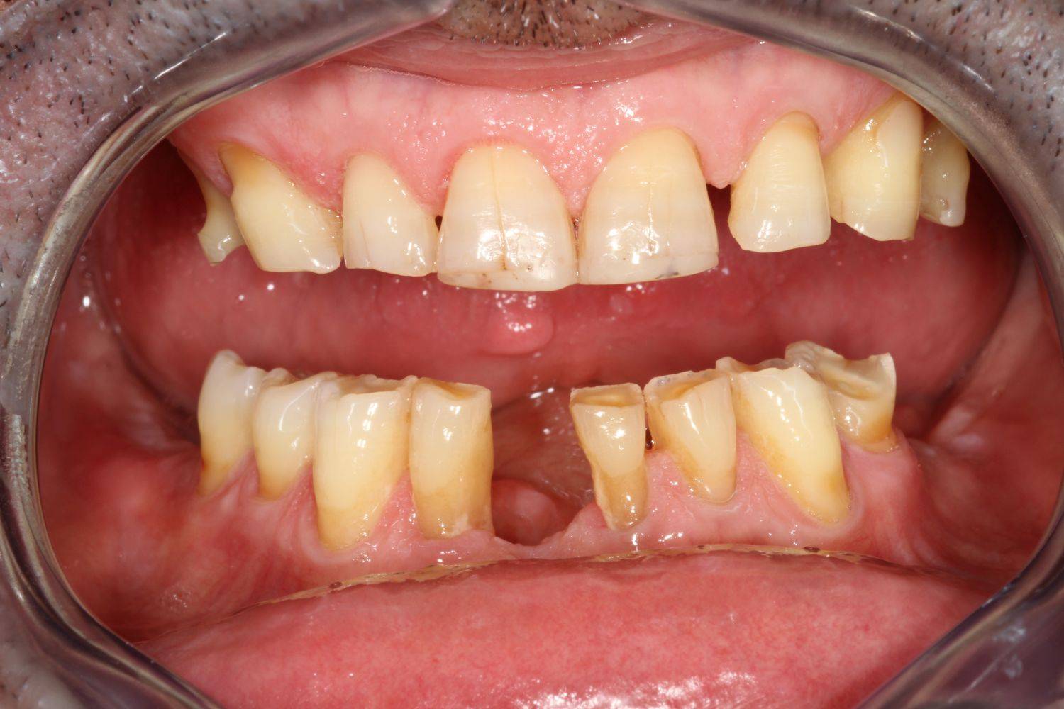
1. eset
A páciens fogágybetegség miatt érkezett hozzánk. A felső fogak menthetetlen állapotban voltak. All on 6 megoldásként a felső fogak eltávolításakor 6 implantátum került beültetésre és a páciens azonnal egy fix ideiglenes hidat kapott. 4 hónapos gyógyulási idő után készült el a felső fémkerámia leplezésű körhíd.
Jelentkezzen be hozzánk Fogászati Konzultációra!
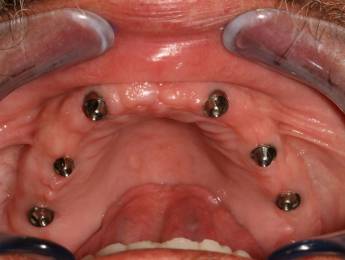
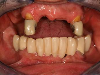
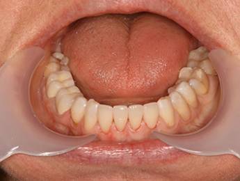
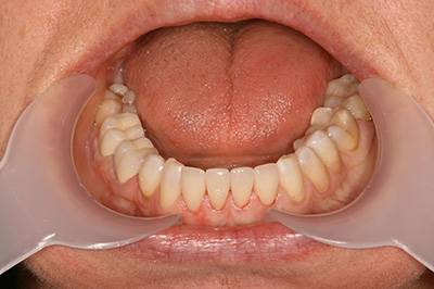
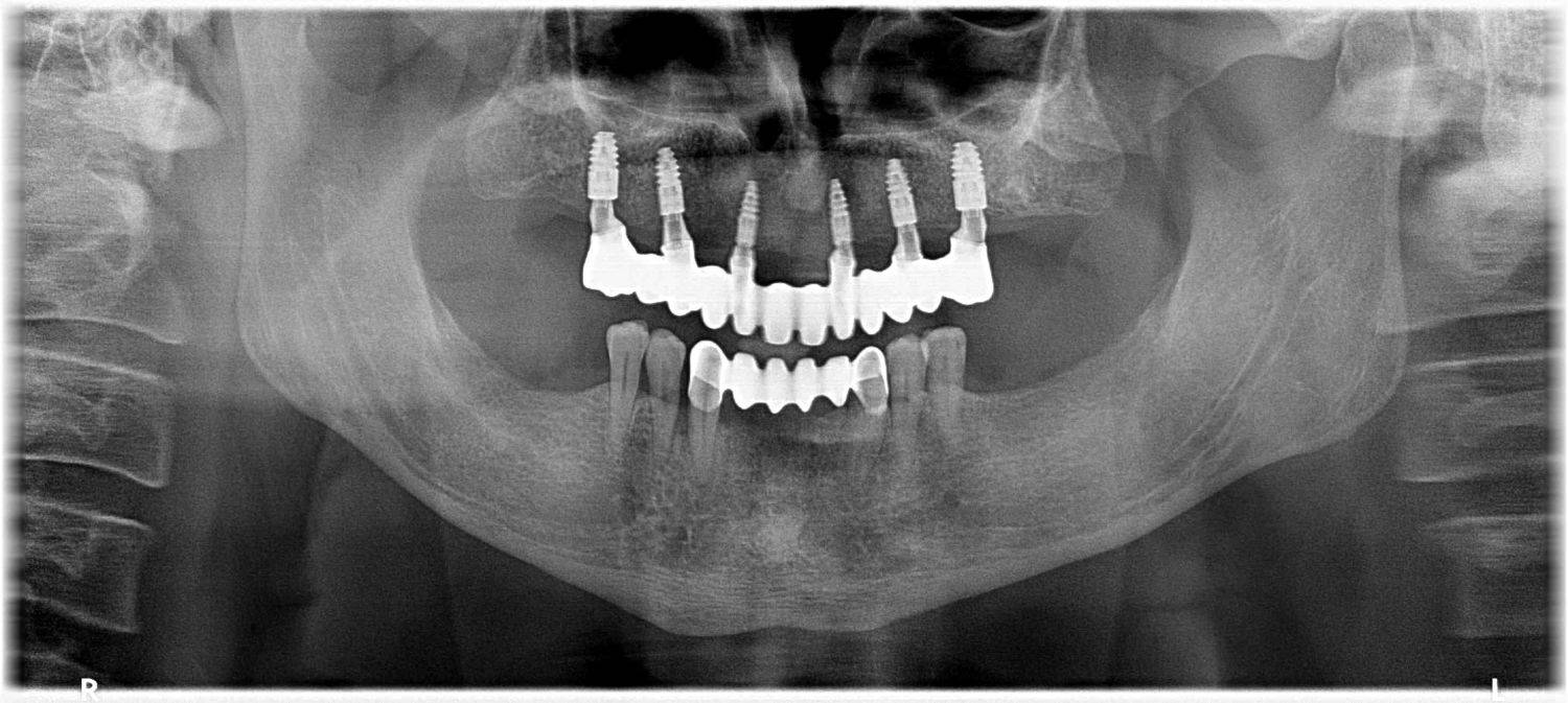
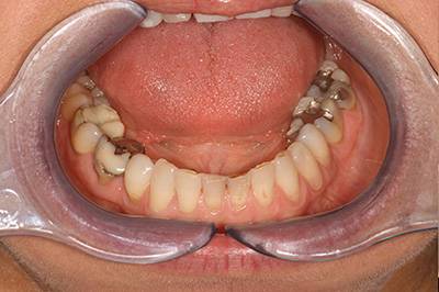
3. eset
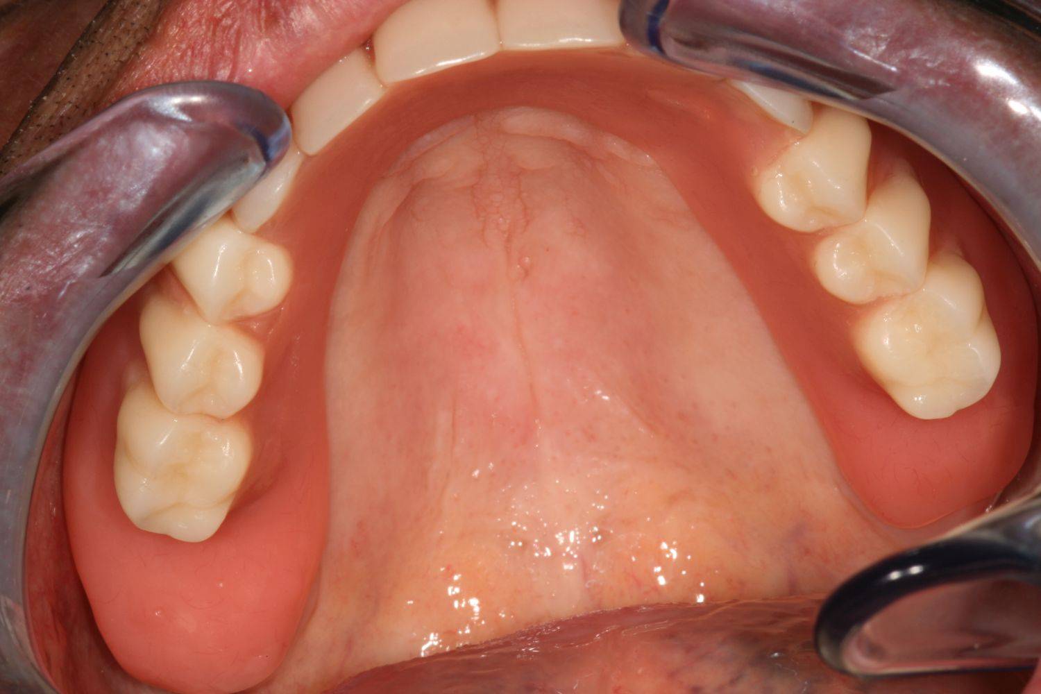
4 implantátumra rögzített stéggel stabilizált "Overdenture" megoldás. Költséghatékony módszer fogsorok rögzítésére. Nagyfokú stabilitás érhető el redukált felületeken. Ebben az esetben jól látható, hogy a szájpadlást nem fedi be a kivehető fogsor, az ízlelés is megmarad, mégis javul a rágási képesség és a fogsorok mozgásmentesen rögzülnek.
5. eset
Ennek a kedves hölgynek 20 éves álmát váltottuk valóra. 20 évig hordott kivehető fogsorokat. 12 implantátum beültetése után alsó és felső fixen rögzített hidakat készítettünk. Nincs többé kivehető - evéskor, beszéd közben - elmozduló fogsor. Javult a rágási hatékonyság is, amely az egészséges táplálkozás szempontjából is nagyon fontos tényező.
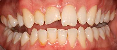
6. Eset
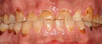
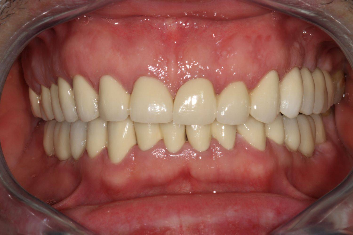
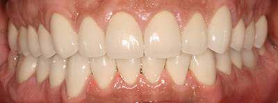
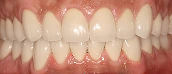
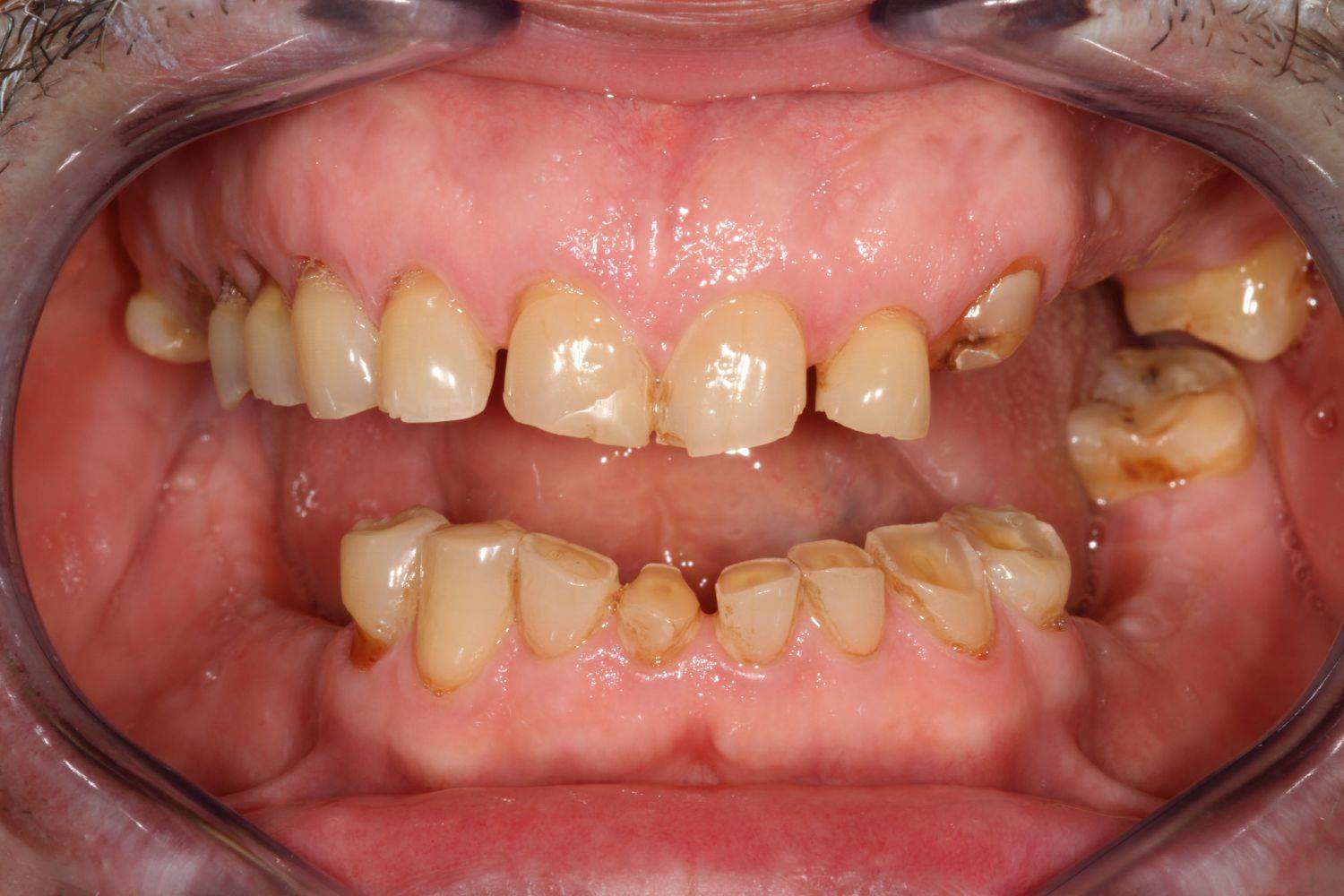
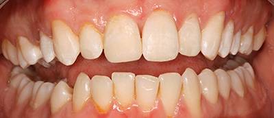
Nagymértékű fogkopás, erózió, csikorgatás a teljes rágóapparátust túlterhelve okoz reménytelennek tűnő helyzeteket.
Ebben az esetben implantátumok , koronák és hidak segítségével változtattunk a páciens fogainak érintkezésén. 6 hónapig ideiglenes hidakkal teszteltük a megváltoztatott harapási pozíciót. Ezután készültek el a végleges fix pótlások.
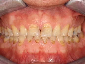
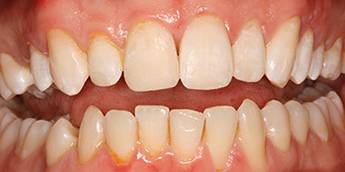
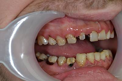
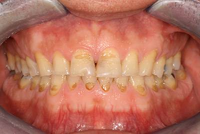
10. eset
Savas kémhatású anyagok, mint például a szénsavas üdítők túlzott használata is a fogak zománcrétegének nagyfokú károsodását okozhatják. 35 éves férfi páciensnek készítettünk a frontfogaira Zirkon koronákat, a rágófogaira pedig fémkerámia szóló koronákat. 28 koronával állítottuk helyre a fogazatot.
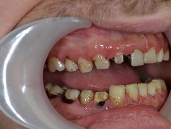
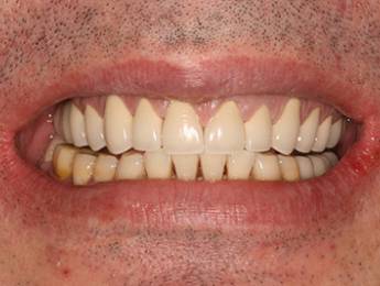
11. eset
27 éves páciensünk egész életében rettegett a fogorvosi beavatkozásoktól. Az összes foga elszuvasodott. A legkárosodottabb fogak gyökérkezelése és a szuvasodásainak megszűntetése után 26 fémkerámia koronát kapott a páciens. Erre a kezelésre is nagyon büszkék vagyunk. 2 hét leforgása alatt sikerült jelentős mértékben javítanunk a páciensünk mosolyán, önbizalmán és mióta velünk talalákozott, már a fogászati kezelésektől sem fél annyira!

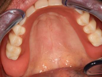
Amint a fényképeink is mutatják rendszeresen végzünk nagy volumenű, teljes száj rehabilitációkat.
Nyugat-Európa több országából is rendszeresen látogatnak el hozzánk páciensek azért, hogy gyorsan, hatékonyan javíthassunk fogazatuk állapotán. Ez is bizonyítéka annak, hogy amennyiben megtisztel minket bizalmával, akkor nyugodt lehet abban, hogy garantáltan magas minőségű ellátást fog kapni.
Dr. Oláh Zoltán
Konzerváló Fogászat és Fogpótlástan Szakorvos
Jelentkezzen be hozzánk Fogászati Konzultációra!
Szuper kedves fogadtatás és megbízhatóság. Szakmailag hozzáértő orvosi személyzet, és az elképzeléseimet is messze túlszárnyaló végeredmény. Nagyon köszönöm!
B. MónikaKedvesség, figyelmesség, odafigyelés… és még sok minden más. Köszönöm, hogy lehetőséget adtak, hogy visszakapjam a mosolyom. Most már ismét tudok rágni, megfelelően étkezni, jobban érzem az ételek ízét. Mindez egyszerűnek tűnhet, de számomra olyan érzés, amit már nagyon régóta nem tapasztalhattam meg. 68 évesen ismét szépek a fogaim.
F. PéternéKedves fogadtatás, kellemes környezet, zéró fájdalom. Mindent köszönök. A kezelések nem mindig teltek észrevétlenül, de a csapatnak hála, mindebből nem sokat éreztem. Teljes szívemből köszönöm.
T. AnnaSzívből köszönöm Oláh Doktor Úrnak és a Soldent teljes csapatának azt az odaadó munkát, amivel visszaadták a mosolyomat!
T. Ferenc





































